Procedure: All on 4 (upper and lower jaw)
Hospital: Sea Smile Dental Clinic, Phuket
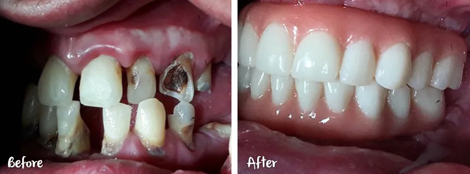
18 Teeth Extraction with All on 4 implants upper and lower jaw in Phuket.
My surgery went perfect, it was virtually pain free and had no bruising at all.
I actually went out touring around the next day in Phuket which amazed me. Many thanks for your help, i couldn’t be happier.



